• Phone 01096101006
  • info@damas-clinics.com
  • A Global Leader in Transportation Innovation : :

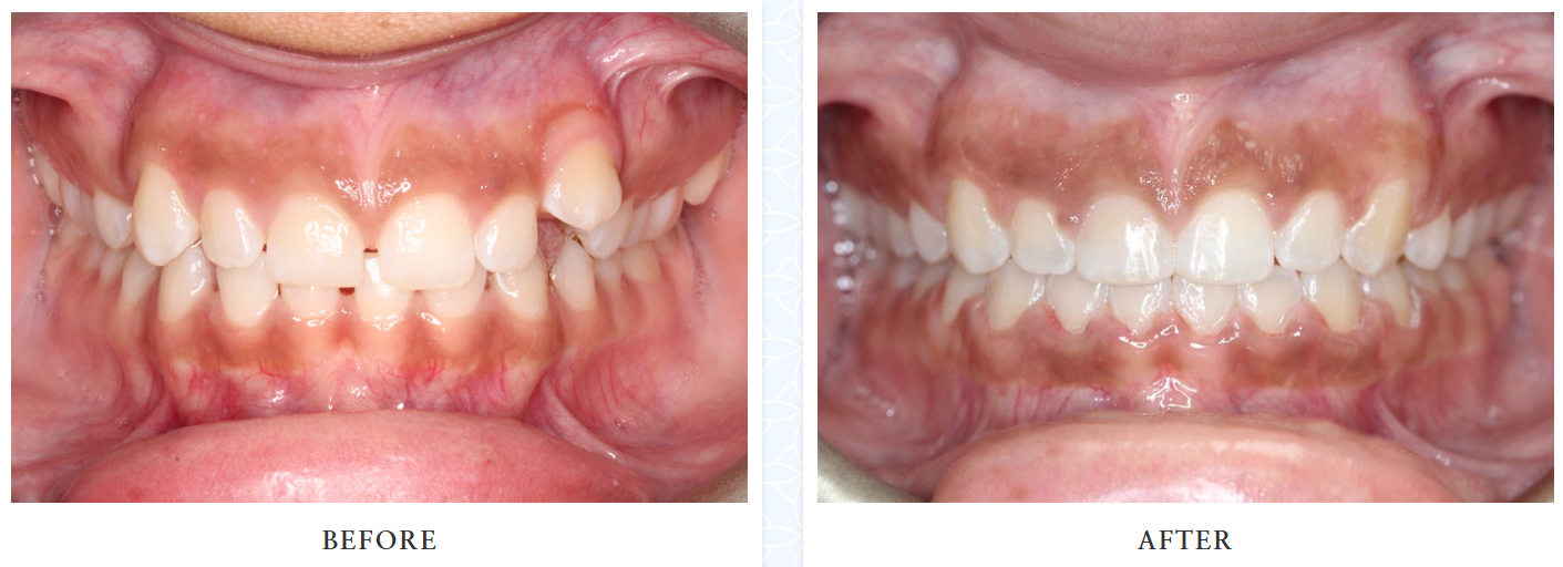
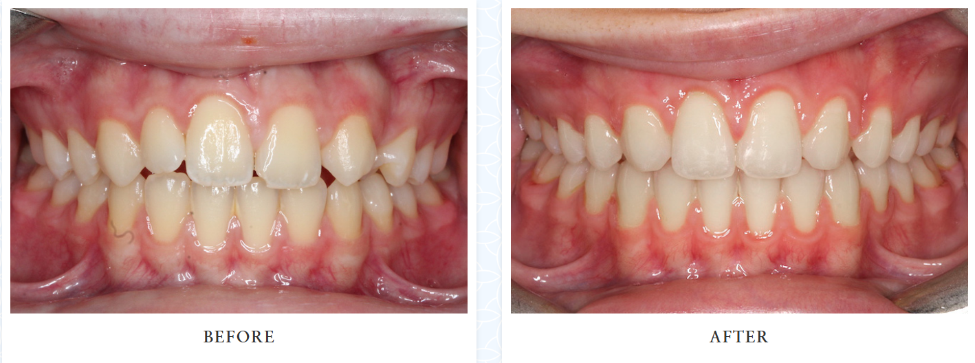
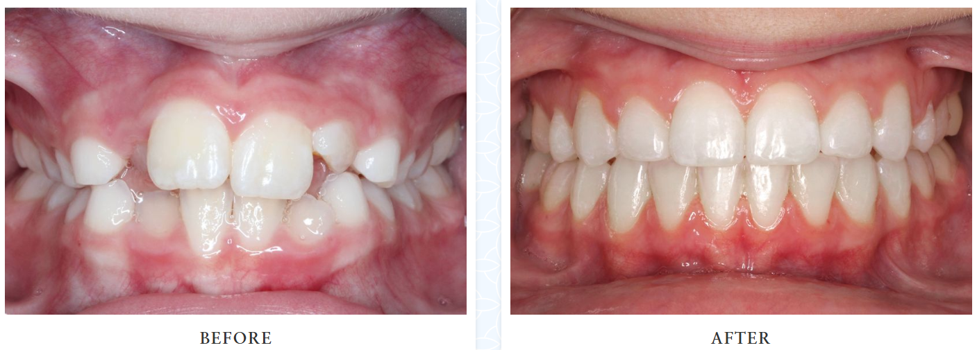
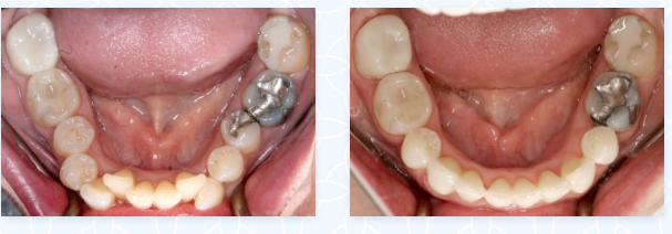
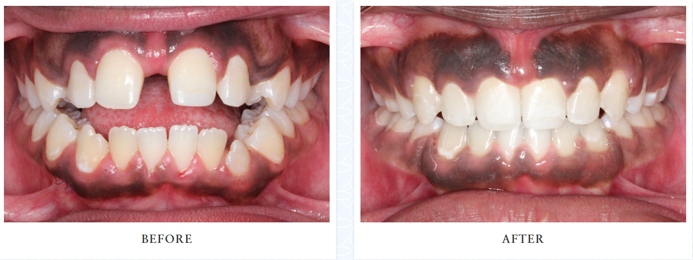
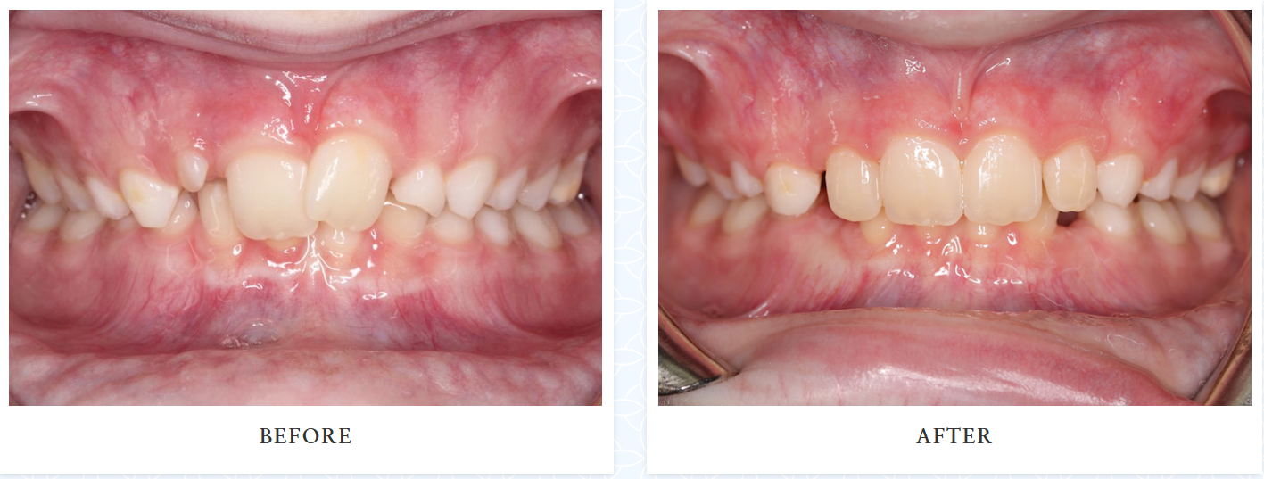
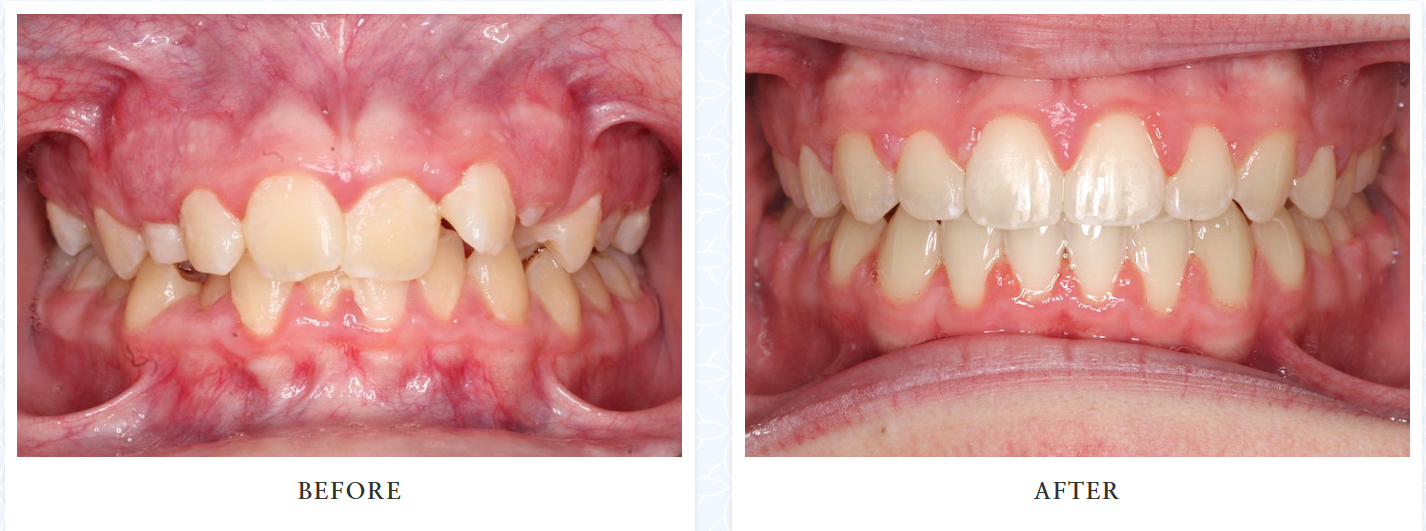
Orthodontics

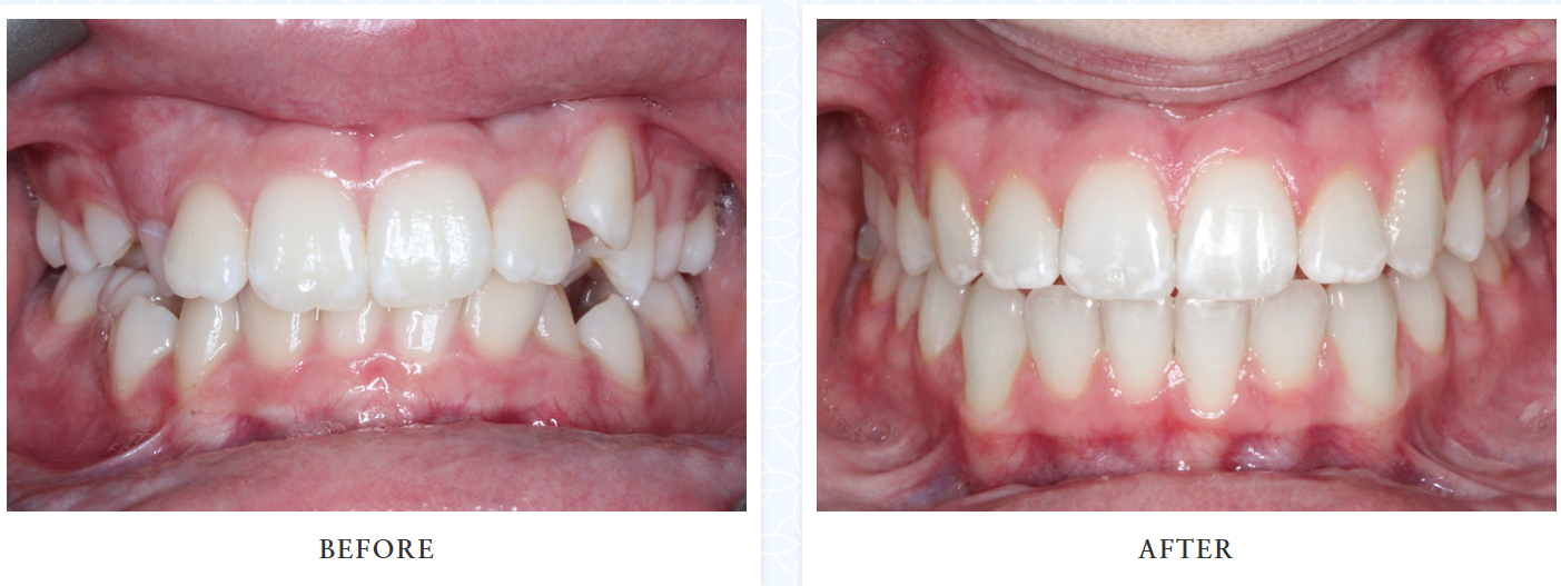
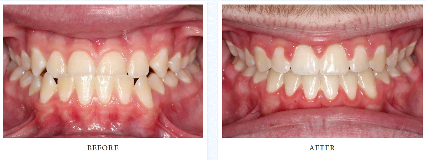
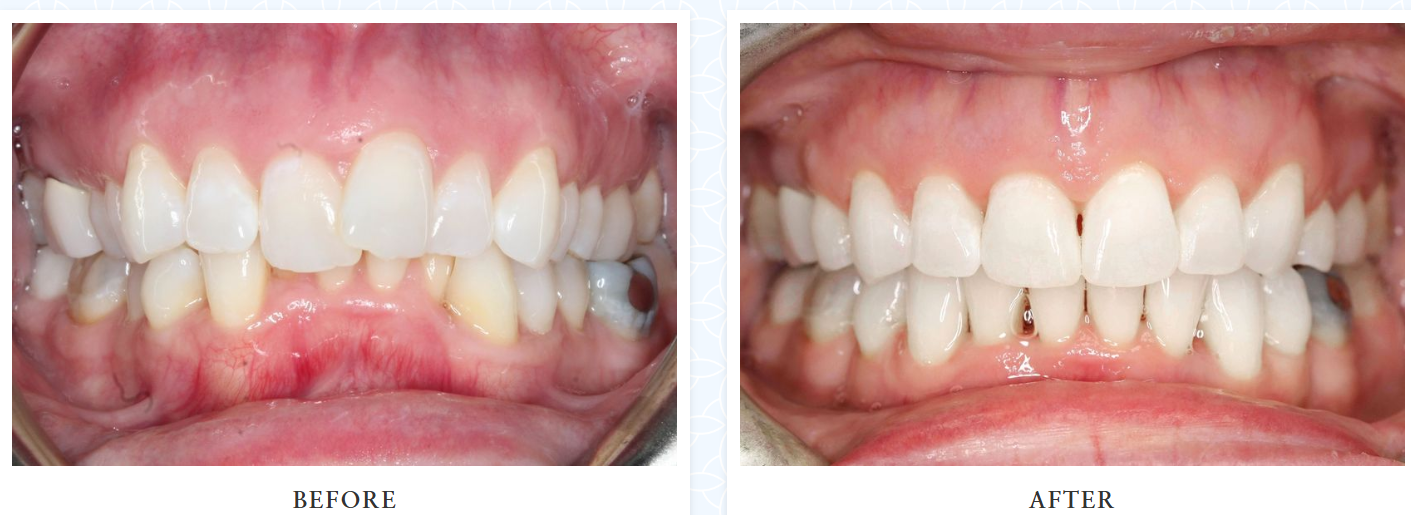
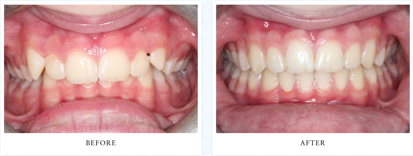
Braces – Straight Teeth, Straight Confidence
At Damas Clinics, braces aren’t just wires—they’re your roadmap to a confident, balanced life. Whether
you’re young or just young at heart, aligning your teeth brings clarity, comfort, and a smile that stands
proud.
Your smile doesn’t have to wait.

Why get braces?
If your teeth are crowded, spaced out, or causing speech or chewing issues—braces are the fix. Not just
for looks, but for health. Aligned teeth mean easier cleaning, less decay, and better bite function.

Are there different types?
Yes—and we help you choose what fits your life best:
Metal Braces: Reliable, strong, and proven over time.
Clear Aligners (like Invisalign): Nearly invisible and removable—perfect for subtle treatment.
Ceramic Braces: Just as effective as metal but more aesthetic.
Each smile is unique, and so is our plan for you.

How long does it take?
Anywhere from 6 months to 2 years—depending on your case. But the confidence? That stays forever.

Does it hurt?
Mild pressure or tightness at first—it’s normal. But soon, you adjust. Step by step, you feel the change.
You see it too.

Why Damas Clinics?
Because we don’t just install braces. We map out your smile with precision, use the latest scanning and
planning tech, and guide you through every stage with care and experience.

Start today. Straighten your teeth. Straighten your life.
Braces at Damas Clinics – The first step toward a smile that fits your future.

Damas Dental Clinic - Interior View

At Damas Dental Clinics, we believe that a confident smile is a powerful thing. That’s why we’ve built
more than just a dental practice—we’ve created a space where excellence, technology, and human care
come together to transform lives through smiles.