• Phone 01096101006
  • info@damas-clinics.com
  • A Global Leader in Transportation Innovation : :

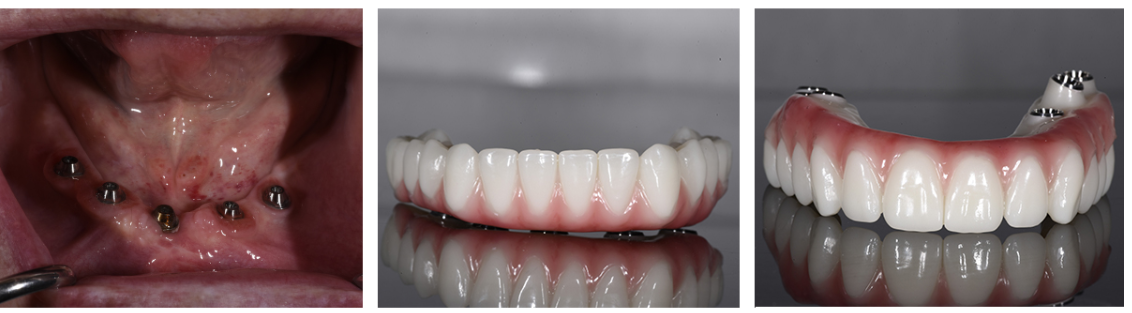
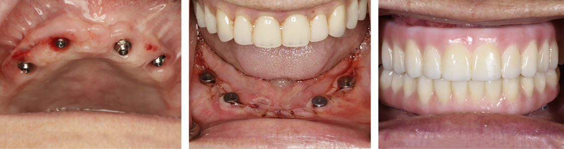
Dental Implants

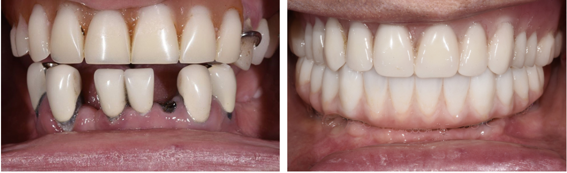
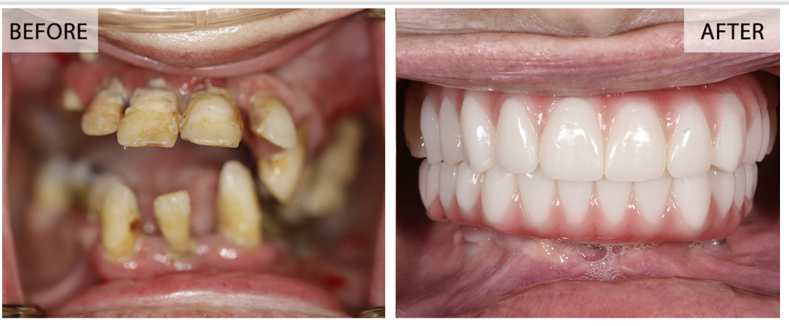
Dental Implants – Your Smile Reborn
At Damas Clinics, we don’t just replace teeth. We restore confidence.
A dental implant is more than a treatment—it's a transformation. Strong, secure, and natural-looking,
implants give you back the power to bite, speak, and smile without hesitation.

Forget wobbly dentures and gaps that steal your joy. With dental implants, you get a permanent solution
that feels like your real teeth—because it is your real smile, reborn.

Why choose dental implants?
Because you deserve more than a quick fix. You deserve something strong, lasting, and beautiful.
Implants are made of titanium, fusing with your jawbone like a natural root. They don’t just look good—
they become a part of you.

Is the procedure painful?
Not at all. Most patients say it feels easier than pulling a tooth. We use modern anesthesia, gentle hands,
and precise planning. You walk out the same day—lighter, braver, ready.

How long does it take?
The implant itself takes minutes. Healing takes a few weeks. But what you gain lasts a lifetime.

How long do implants last?
With proper care? 20 years. 30 years. Maybe more. Implants are built to endure. You brush them like
regular teeth. No special tricks. Just you, smiling without a second thought.

What about the cost?
Think of it as an investment—not just in teeth, but in confidence, in comfort, in freedom. And at Damas
Clinics, you get world-class quality at a fraction of the international cost.

Can anyone get implants?
Almost anyone. If you’re in good health and have enough bone—or are willing to rebuild it with us—
you’re likely a candidate. We evaluate everything for you. No pressure. No guesswork.

Why Damas Clinics?
Because we treat smiles like art. Because our surgeons are trusted by thousands. Because we blend
cutting-edge tech with human care.
Because here, you don’t just get a new tooth—you get your life back.

Dental Implants at Damas Clinics.
Where your new smile begins.

Damas Dental Clinic - Interior View

At Damas Dental Clinics, we believe that a confident smile is a powerful thing. That’s why we’ve built
more than just a dental practice—we’ve created a space where excellence, technology, and human care
come together to transform lives through smiles.